Figure 4 of
Zhang, Mol Vis 2001;
7:1-5.
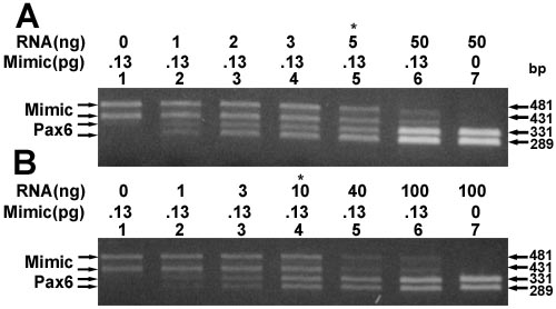
Figure 4. Quantification of PAX6 and PAX6(5a) transcripts
Quantification of PAX6 and PAX6(5a) transcripts in (A) monkey macula and (B) human cornea RNA preparations. Ethidium bromide stained gels showing the levels of PAX6 and PAX6(5a) transcripts using increasing amounts of indicated RNAs. Also indicated are the RNA concentrations and the positions of the M1 (PAX6(5a) mimic), M2 (PAX6 mimic), PAX6(5a), and PAX6 products. Asterisks indicate amounts of RNA that equally compete with 0.13 pg of mimic DNAs.
