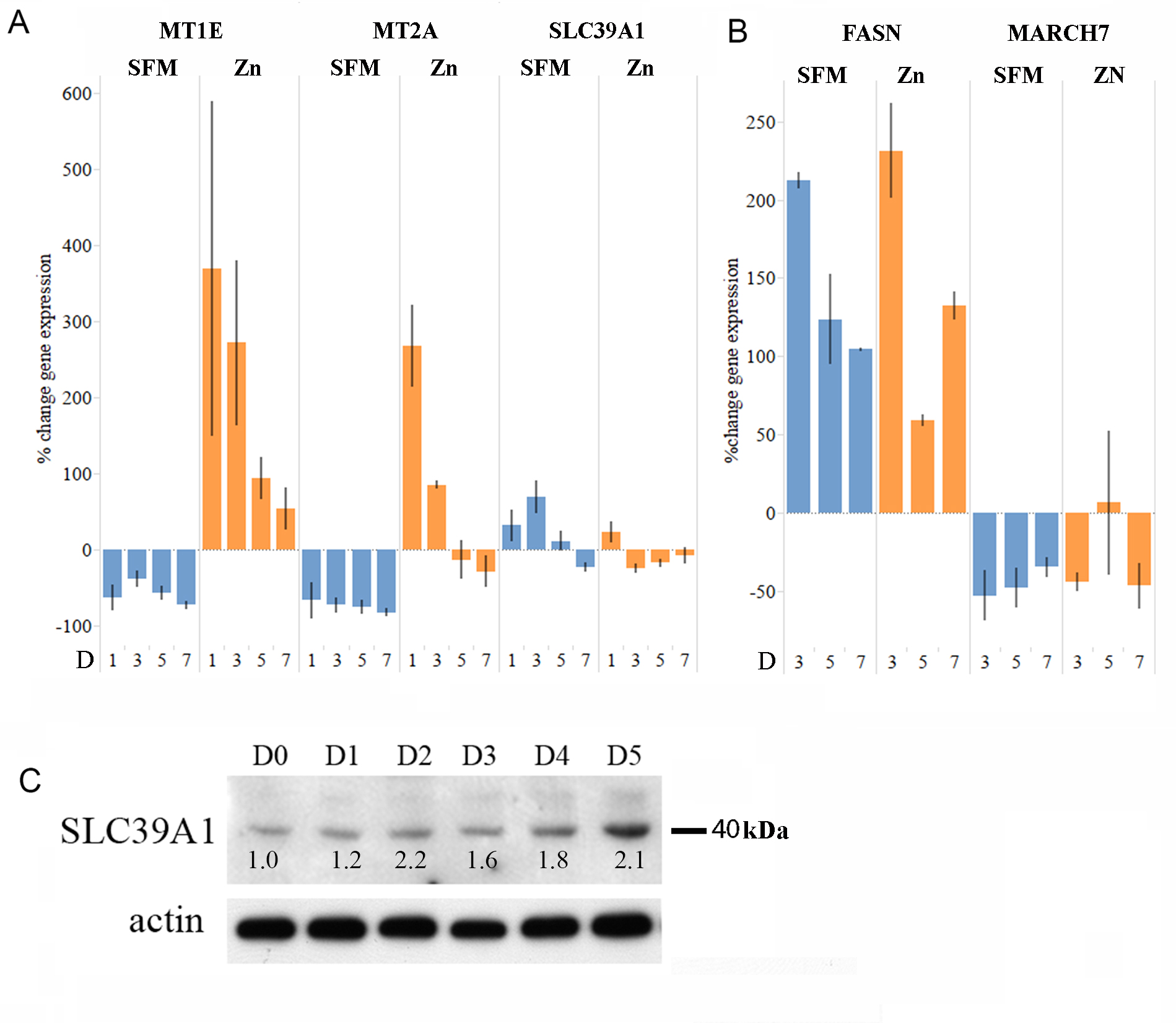
Figure 7 of Mishra, Mol Vis 2016; 22:1387-1404.


Figure 7. The effect of serum deprivation and zinc supplementation on the expression of genes that encode ZBPs. Gene expression values were measured with quantitative PCR (qPCR) and Relative quantity (RQ) values were calculated using the –ΔΔCt method and normalized using the mean value of three reference transcripts. Percent change=(RQ–1) × 100. Error bars represent the standard error of the mean (n=3). A: Metallothionein expression decreases in serum-free medium (SFM), and this is reversed by supplementation with zinc. B: SFM-regulated expression of other zinc-binding protein (ZBP) genes is not affected by the addition of supplemental zinc. C: Expression of the zinc transporter ZIP1/SLC39A1 in SFM. Western blot of ARPE-19 cell lysates, prepared after serum deprivation for the indicated number of days, with rabbit polyclonal anti-SLC39A1 antibody. The same blot stripped and reprobed with anti-actin-horseradish-peroxidase (HRP) antibody is shown below as the loading control. Normalized levels relative to day 0, as described in legend to Figure 3, are shown numerically.