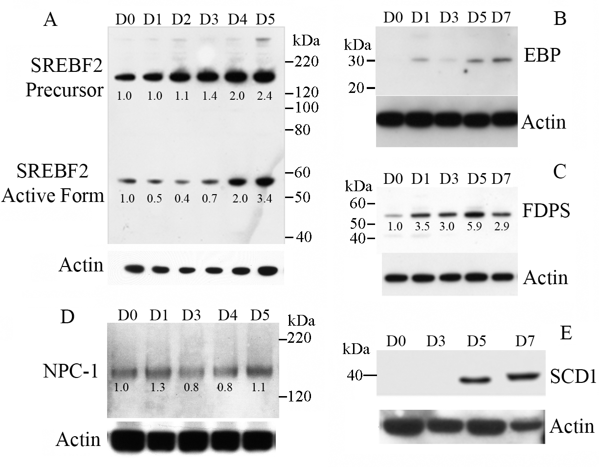
Figure 3. Lipid synthetic and transport proteins are induced in ARPE-19 cells in SFM. Western blots of ARPE-19 cell lysates after the
indicated number for days in serum-free medium (SFM) are shown for (A) SREBF2, (B) EBP, (C) FDPS, (D) NPC1 and (E) SCD1 (upper panels). The same blots were stripped and probed with anti-β-actin to indicate loading controls (lower panels).
Blots are representative of two to three replications each. For the bands that showed progressive increases, the blots were
scanned and quantitated using ImageJ and normalized to actin loading controls, setting day 0 to the value 1.
