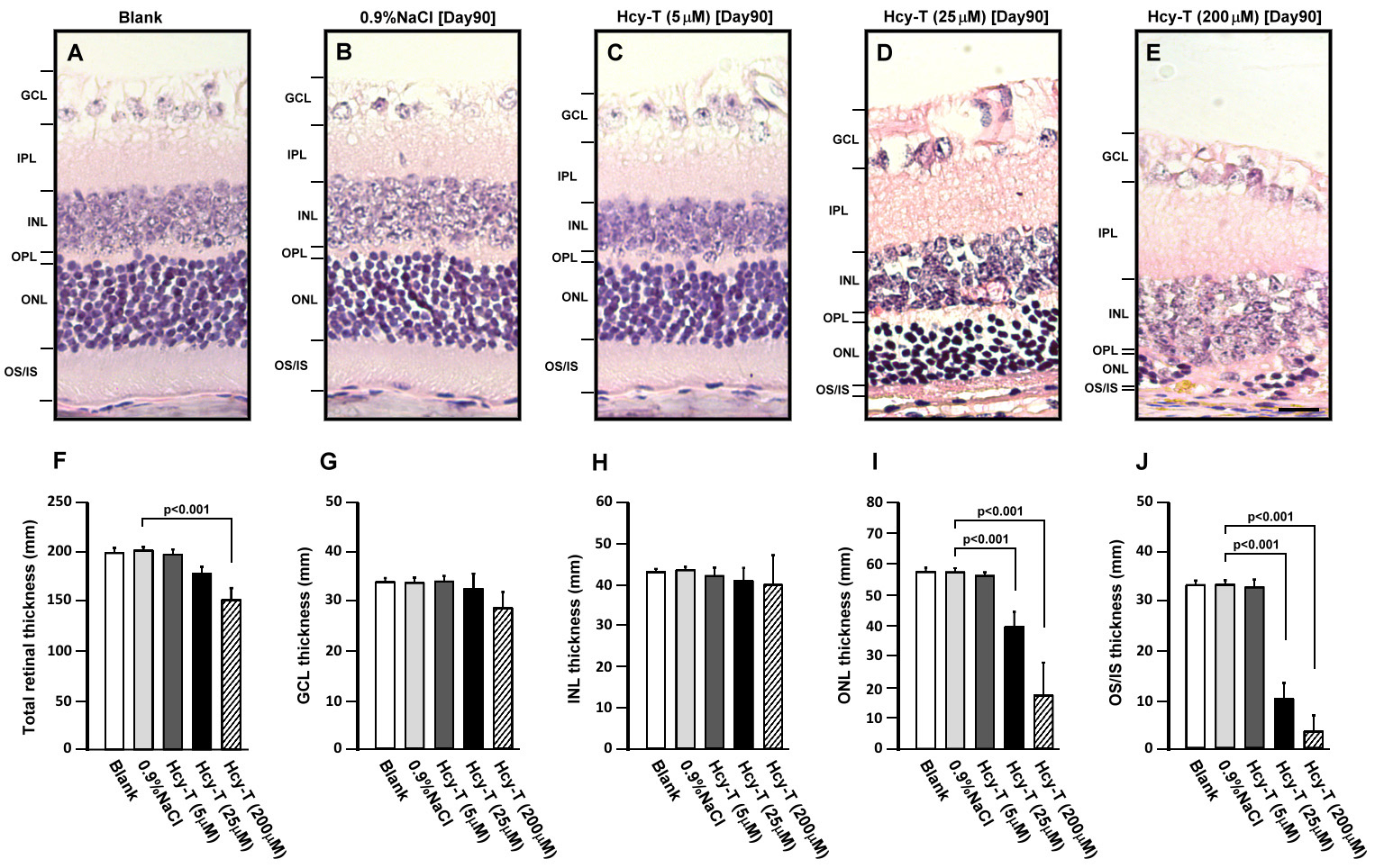
Figure 2. The effects of an intravitreal
homocysteine-thiolactone (Hcy-T) injection on mouse retinas at day 90
after preparation. All retinas were prepared with hematoxylin-eosin
staining for histological assessment and for measurement of the
thickness of specific layers. A: Blank control without any
injection. B: 0.9% NaCl sham injection control. C:
Final intravitreal Hcy-T at 5 μM. D: Final intravitreal Hcy-T
at 25 μM. E: Final intravitreal Hcy-T at 200 μM. F:
Total retinal thickness. G: Ganglion cell layer (GCL)
thickness. H: Inner nuclear layer (INL) thickness. I:
Outer nuclear layer (ONL) thickness. J: Outer and inner
segments of photoreceptors (OS/IS) thickness. The sample size for total
retinal thickness was 5 in all groups. The error bars indicate standard
error of the means (SEMs). Scale bar: 25 μm.
