Figure 5 of Gardner, Mol Vis 2009; 15:876-884.


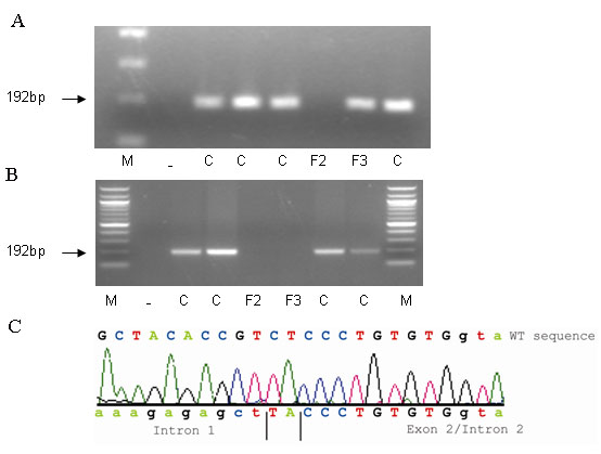
Figure 5. Analysis of the hybrid gene in Family 2. A and B show agarose gel photographs of PCR products (192 bp) obtained using primer pairs (Table 1) specifically designed to amplify either L exon 2 (A) or M exon 2 (B). Individual 1.1 of Family 2 is represented by sample F2 on the gels. No amplification products were obtained for sample F2 with either L opsin gene specific primers (A) or M opsin gene specific primers (B), indicating absence of exon 2 of both L and M opsin genes in Family 2. Sample F3 represents subject 2.3 of Family 3, who has a hybrid gene in which L exon 2 is present (A) but M exon 2 (B) is absent. These data confirm the absence of both L and M exon 2 in sample F2 (1.1 Family 2) and the presence of L exon 2 and absence of M exon 2 in sample F3 (2.3 Family 3). C denotes male population control sample. Dash (–) denotes a DNA negative control sample, and M indicates a 100 bp DNA ladder. C shows sequence of individual 1.1 in Family 2 in which the deletion breakpoint within exon 2 was detected. The subject sequence was compared to the wild type (WT) reference sequence demonstrating that the majority of exon 2 is deleted; intron 1 sequence was joined to terminal exon 2 sequence with 2 bp of intervening sequence.