Figure 2 of Yang, Mol Vis 2009; 15:312-318.


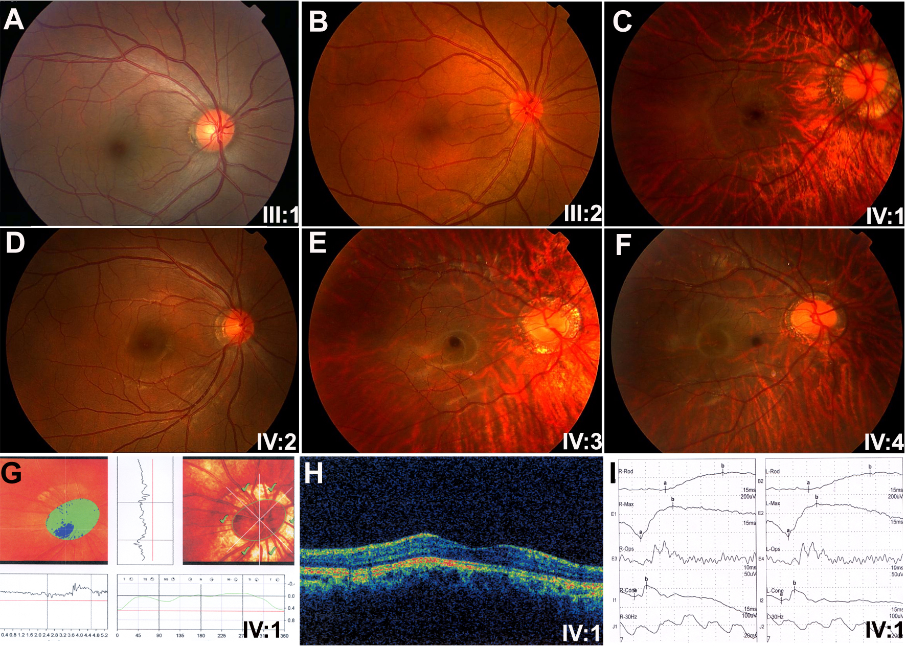
Figure 2. Clinical phenotypes of arHM. A-F: Fundus photos from parents (A, B) and affected (C, E, F) and unaffected (D) offspring. The individual numbers at the lower right corner of each photo are the same as those in Figure 1. All affected patients had a tigroid fundus change and circular choroidal defects around the optic discs. G-I: Results of HRT (G), OCT (H), and ERG (I) from affected individual IV:1 are shown. Normal HRT and OCT and mild reduced cone responses were shown.