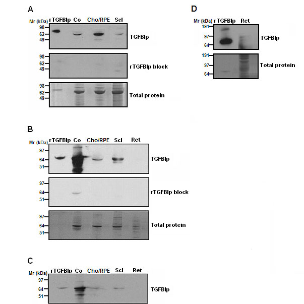
Figure 8 of Shelton, Mol Vis 2008; 14:1465-1479.


Figure 8. Transforming growth factor, beta-induced protein detection in marmoset and human ocular tissues. Western blot analysis identified the presence of transforming growth factor, beta-induced protein (TGFBIp) in the cornea (Co), choroid/RPE (Cho), sclera (Scl), and retina (Ret) of the marmoset (A) and human eye (B). Pre-incubation of TGFBIp antibodies with recombinant TGFBIp protein (rTGFBIp; 1 µM final concentration) abolished all major anti-TGFBIp immunoreactive bands in marmoset tissue extracts, with the exception of a faint band in the human cornea lane migrating at ≤ 65 kDa (B, center panel; rTGFBIp block). Total protein loaded in each well was visualized by Coomassie Blue staining (A and B, bottom panels). C: Lighter exposure of Figure 7B (top panel). Recombinant TGFBIp protein (rTGFBIp, 40 ng) and cornea served as positive controls.