Figure 6 of Julien, Mol Vis 2008; 14:1358-1372.


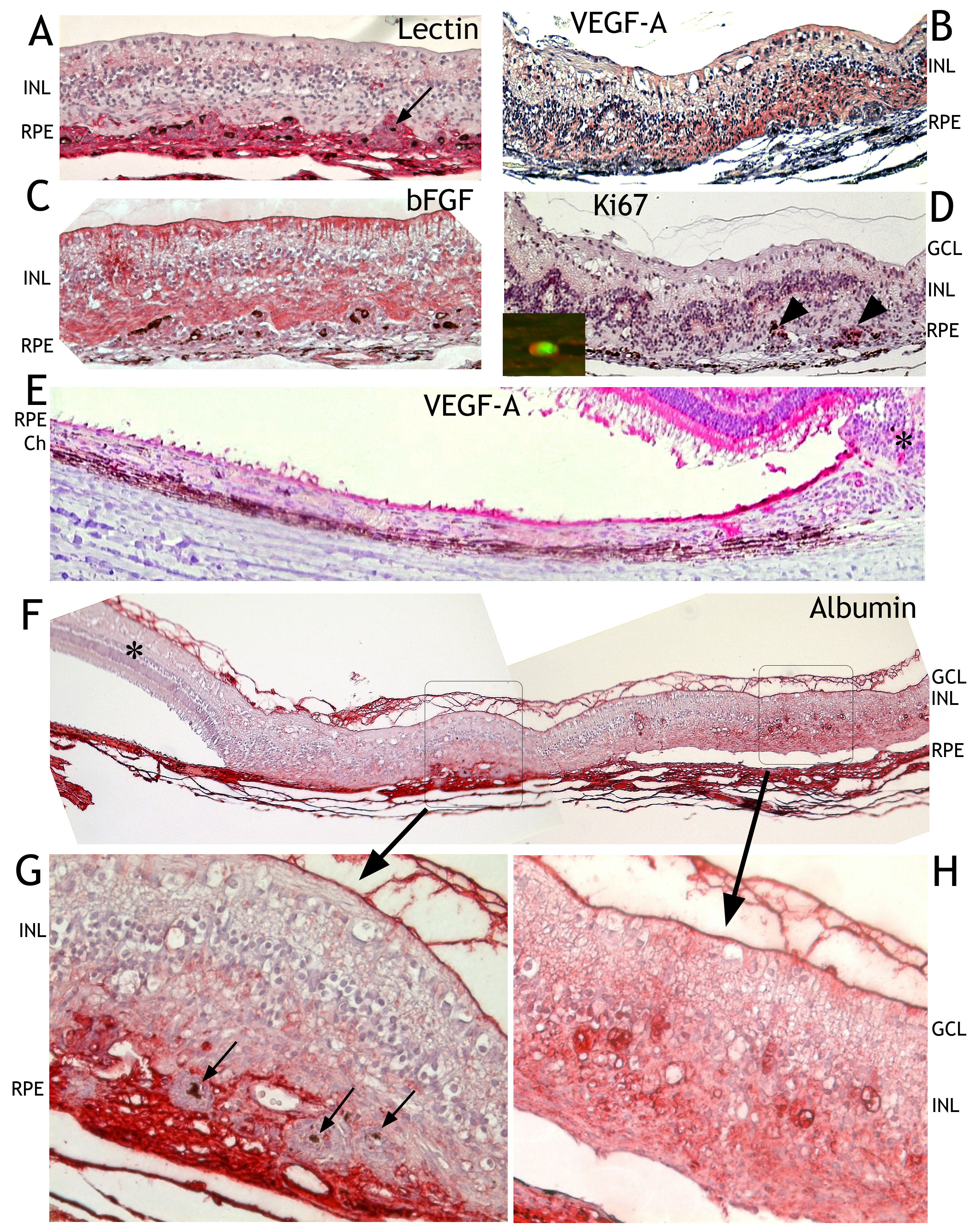
Figure 6. Immunohistochemical findings after transduction with HC Ad.VEGF-A with hematoxylin and eosin counterstain. A: Staining with tomato lectin showed that most cells penetrating the disrupted retinal pigment epithelium (RPE) cell layer were of endothelial origin (red). Inner and outer retinal nuclear layers were mixed. Single RPE cells (black arrow) were surrounded by proliferating endothelial cells. B: VEGF-A was highly expressed in the retinal scar (white asterisk) and in the RPE close to the retinal scar (black asterisk) but this expression rapidly decreased the farther it was from the retinal scar (E). The expression of bFGF was not as strong in cells of choroidal origin than in retinal cells (C). D: Proliferating cells at the retinal choroidal interface were immunoreactive for Ki67 (black arrowheads). The inset in (D) demonstrates the endothelial nature of dividing cells by double labeling for Ki67 (red) and tomato lectin (green). F: Albumin (red) was present in the choroid and the fiber matrix at the vitreoretinal interface. It was absent in the unaffected retina (black asterisk). Two selected areas are shown enlarged (G, H). Choroidal retinal scarring and leakage of albumin are visible in one of the enlarged areas (G). Albumin was not localized within proliferating cells surrounding single RPE cells (black arrows). This may be why ICG did not enter such sites (see Figure 2I,M). H: The second enlarged area revealed albumin leakage within the retina that, as shown in this panel, was not fused with RPE or choroid (Ch). Abbreviations: INL, inner nuclear layer; GCL, ganglion cell layer.