Figure 5 of Julien, Mol Vis 2008; 14:1358-1372.


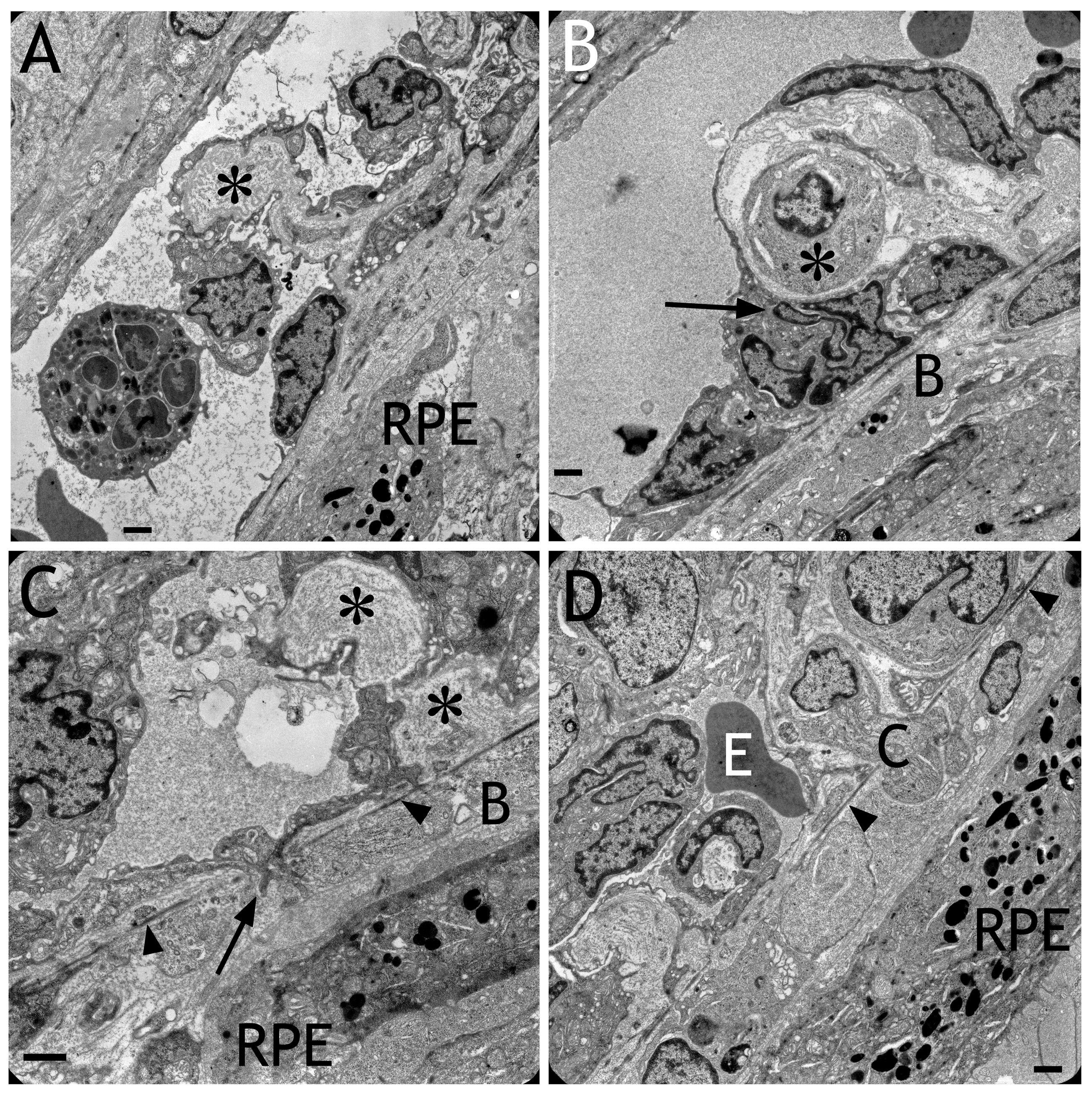
Figure 5. Electron micrographs obtained after transduction with HC Ad.VEGF-A. A: An invagination of the the endothelium into the lumen of the choriocapillaris containing extracellular matrix (asterisk) is shown. This caused the patchy appearance of the choriocapillaris lumen presented in Figure 4. B: A cell (asterisk) was located between the endothelium and Bruch’s membrane. Note the extremely frayed or fragmented nucleus of an endothelial cell (arrow). C: An endothelial cell was spreading into Bruch’s membrane (B) toward the RPE (arrow). The elastic layer of Bruch’s membrane is labeled by arrowheads. Sites indicating remodeling of the extracellular matrix surrounding the choriocapillaris are labeled by asterisks. D: A cell (C) was migrating into Bruch’s membrane toward the RPE. The elastic layer of Bruch’s membrane is labeled by arrowheads. Within the pathological capillary, an erythrocyte (E) was still present. Scale bars in each image: 1 μm.