Figure 1 of
Rohrer, Mol Vis 2003;
9:18-23.
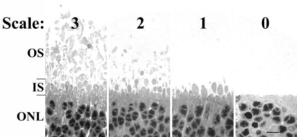
Figure 1. Inner and outer segment development ranking scale
Photoreceptor inner and outer segments were ranked on a scale of 0-3. Healthy inner segments (IS) with numerous, elongated outer segments (OS) were given a rank of 3. Healthy IS with some, shorter OS were given a rank of 2. Shortened IS with no OS were given a rank of 1. Photoreceptor with very few or no IS were given a rank of 0. Scale bar represents 10 μm. The outer nuclear layer (ONL) is labeled.
