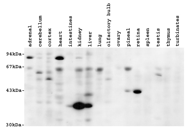
Figure 3 of
Zhu, Mol Vis 2002;
8:462-471.
Figure 3. Tissue distribution of the mCAR protein
Soluble proteins (50 μg) from various mouse tissues were subjected to immunoblot analysis with LUMIJ and anti-rabbit secondary antibody using an ECL kit. The molecular markers are indicated on the left.
