Figure 6 of
Wagner, Mol Vis 2002;
8:394-406.
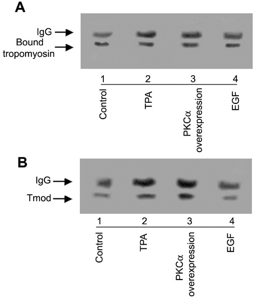
Figure 6. Tropomyosin binding activity to tropomodulin
A: Tropomodulin was immunoprecipitated from N/N 1003A cells and the blot was incubated in tropomyosin protein for 2 h to allow binding of tropomyosin to tropomodulin (attached to the blot). The blot was then probed with anti-tropomodulin antibody. The amount of tropomyosin that was bound to tropomodulin (A) was normalized against the band intensities of the same blot probed with anti-tropomodulin antibody (B). From this overlay assay, it was determined that treatment with TPA or EGF, i.e., tropomodulin phosphorylation (lanes 2 and 4), has no effect upon tropomyosin binding tropomodulin. B: Blot that was used to normalize the tropomyosin binding changes for any changes in tropomodulin amount. The blot was probed with anti-tropomodulin antibody.
