Figure 3 of
Garcia, Mol Vis 2002;
8:10-16.
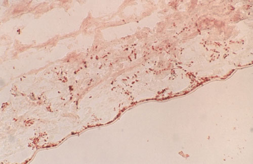
Figure 3. Cryosection of corneal tissue infected by Fusarium solani
Cryosection of corneal tissue infected by Fusarium solani (WGA, 5 mg/ml). In this section Fusarium solani fungi were located mostly in the area closest to Descemet membrane (x20).
