Figure 1 of
Garcia, Mol Vis 2002;
8:10-16.
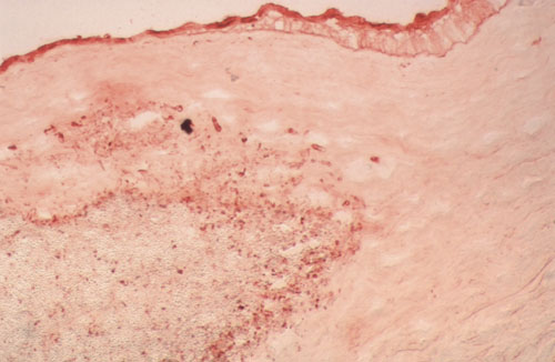
Figure 1. Cryosection of corneal tissue infected by Candida albicans
Cryosection of corneal tissue infected by Candida albicans (WGA, 5 mg/ml). Some yeast and pseudohyphae are stained in red, some yeast in the center of the abscess remain unstained. Corneal epithelium staining was noted (x20).
