Figure 7 of
Grossniklaus, Mol Vis 2002;
8:119-126.
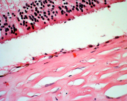
Figure 7. Immunostained autopsy eye inflammatory inactive CNV
A: Inflammatory inactive eye bank CNV showing lack of inflammatory cells in fibrovascular tissue. (hematoxylin and eosin, 100x) B: Immunohistochemical stains are positive for MCP in scattered RPE cells. (peroxidase anti-peroxidase, 100x)
A

B
