Figure 6 of
Grossniklaus, Mol Vis 2002;
8:119-126.
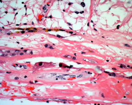
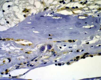
Figure 6. Immunostained autopsy eye inflammatory active CNV
A: Inflammatory active eye bank CNV showing inflammatory cells including macrophages and lymphocytes in fibrovascular tissue. (hematoxylin and eosin, 100x) B: Immunohistochemical stains are positive for TF in scattered fibrocytes and macrophages in the membrane. (peroxidase anti-peroxidase, 100x)
A

B
