Figure 2 of
Grossniklaus, Mol Vis 2002;
8:119-126.
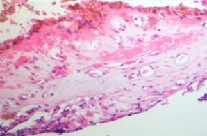
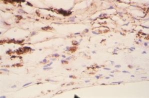
Figure 2. Immunostained surgically-excised inflammatory inactive CNV
A: Inflammatory inactive CNV with more fibrosis than inflammatory cells. (hematoxylin and eosin, 25x) B: There are rare macrophages and fibrocytes in the stroma expressing VEGF. (peroxidase anti-peroxidase, 63x) C: There are rare cells in the stroma, mainly macrophages, expressing TF. (peroxidase anti-peroxidase, 63x) D: Negative control. (peroxidase anti-peroxidase, 63x)
A

B

C

D
