Figure 1 of
Grossniklaus, Mol Vis 2002;
8:119-126.
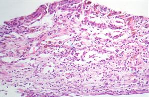
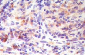
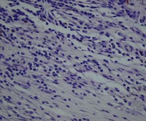
Figure 1. Immunostained surgically-excised inflammatory active CNV
A: Inflammatory active CNV with more inflammatory cells than fibrosis. (hematoxylin and eosin, 25x) B: There is VEGF expression in cells in the stroma, mainly macrophages and fibroblasts and some endothelial cells, as determined by cytologic characteristics [9]. (peroxidase anti-peroxidase, 63x) C: There are numerous cells in the stroma, mainly macrophages, expressing TF. (peroxidase anti-peroxidase, 63x) D: Negative control. (peroxidase anti-peroxidase, 63x)
A

B

C

D
