Figure 4 of
Akhmedov, Mol Vis 2002;
8:79-84.
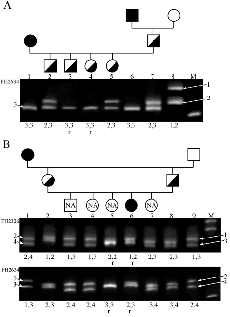
Figure 4. Linkage analysis in disease pedigrees
A: Linkage of FH2634 in an rcd2 informative pedigree. The different alleles are shown below the gel for each, and the two recombinant animals (r) identified. B: Linkage analysis of microsatellites FH2326 and FH2634 in an American Staffordshire terrier pedigree informative for early onset retinal degeneration. The different alleles are shown below the gel for each, and the recombinant animals (r) identified. The same animals (5, 6) are recombinant with both markers. Genotype of the pedigrees: square=male; circle=female; open, half shaded, shaded=normal, asymptomatic carrier, affected, respectively. NA=non-affected animal with heterozygous or homozygous normal genotype.
