Figure 2 of
Yin, Mol Vis 2001;
7:271-276.
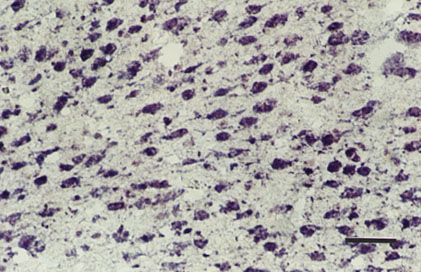
Figure 2. NMDAR1 probe expression in normal cat layer IV
Light micrograph of layer IV in the right visual cortex of normal cat showing positive expression of the nRNA NMDAR1 probe. The bar represents 100 mm.
