Figure 3 of
Hu, Mol Vis 2001;
7:14-19.
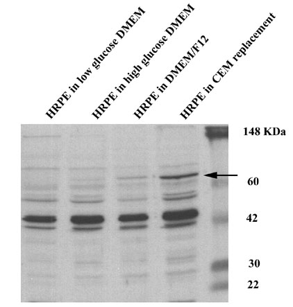
Figure 3. Expression of bestrophin by human RPE cells cultured for two months
Human RPE cells cultured in CEM replacement medium (lane 4) were the only cells that produced significant amounts of bestrophin (arrow).
