Figure 4 of
Wagner, Mol Vis 2001;
7:138-144.
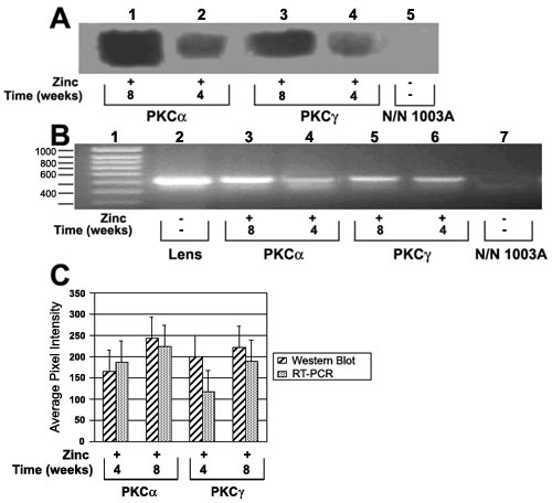
Figure 4. Analysis to detect aA-crystallin in lentoid bodies
aA-Crystallin was not expressed in normal cultures of N/N 1003A lens epithelial cells (A, lane 5; B, lane 7). However, aA-crystallin was expressed in 4 and 8 week old lentoid bodies. Western blots (A) and RT-PCR (B) detected lower levels (statistically significant) of expression in 4 week old lentoid bodies compared to 8 week old lentoid bodies for both PKC isoforms (A, lanes 1-4; B, lanes 3-6), and shown by densitometric analysis of the blots and RT-PCR (C). The expression level of aA-crystallin was lower for both time periods (statistically significant) in lentoid bodies overexpressing PKCg when compared to that of PKCa overexpression, shown by densitometric analysis of the blots and RT-PCR (C; a=0.05). In B, lane 1 is a molecular size marker and lane 2 is mouse lens cDNA for aA-crystallin.
