Figure 3 of Lyon, Mol Vis 2000; 6:199-203.


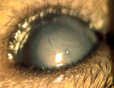
Figure 3. Photograph of a Coop/+ eye

Eye of a Coop/+ mouse showing opaque cornea with vascularization and slight microphthalmia.

(25 K)

Lyon, Mol Vis 2000; 6:199-203 <http://www.molvis.org/molvis/v6/a27/>
©2000 Molecular Vision <http://www.molvis.org/molvis/>
ISSN 1090-0535