Figure 2 of
Lyon, Mol Vis 2000;
6:199-203.
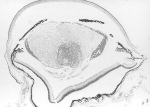
Figure 2. Histology of Ccw/+ eyes
A. Normal littermate 10 days post partum. B. Ccw/+ 10 days post partum. Some vacuolation of the lens is visible. C. Ccw/+ 20 days post partum. Lens fibers are becoming swollen and disorganized. D. Ccw/+ 4-6 weeks post partum. Lens fibers are largely degraded. E. Ccw/+ 14 weeks post partum. Only the lens capsule and some epithelium remain.
A.

B.

C.

D.

E.
