Figure 8 of
Steele, Mol Vis 2000;
6:85-94.
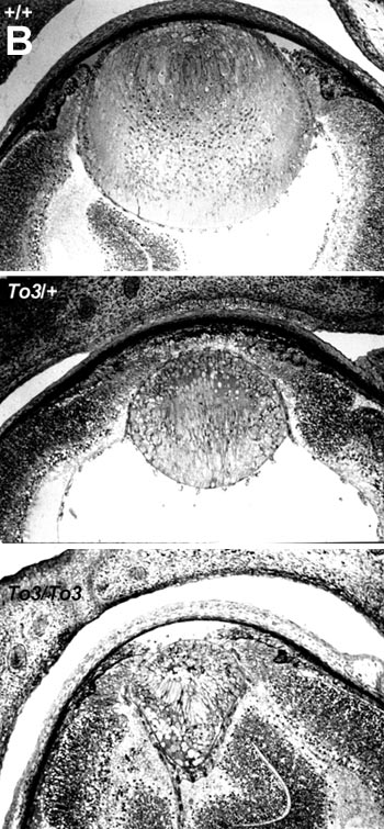
Figure 8. Histological analysis of transgenic mouse eyes
Panel A shows representative E15 eye sections. Sections of eyes from wild type (+/+), hemizygous transgenic (To3/+), and homozygous transgenic (To3/To3) siblings. Panel B shows representative E19 eye sections. Sections of eyes from wild type (+/+), hemizygous transgenic (To3/+), and homozygous transgenic (To3/To3) siblings. Panel C shows representative P18 eye sections. Sections of eyes are from hemizygous transgenic (To3/+), and homozygous transgenic (To3/To3) siblings.


