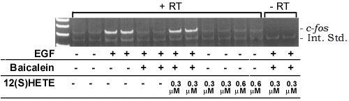
Figure 7 of
Haque, Mol Vis 1999;
5:8.
Figure 7. Expression of c-fos mRNA in N/N1003A cells following EGF stimulation
A. Time course of c-fos mRNA expression. Serum deprived cells were stimulated with EGF. RNA was extracted at the indicated time and c-fos mRNA levels were determined by RT-PCR.

B. Effect of baicalein and 12(S)HETE on c-fos mRNA expression. Serum deprived cells were stimulated with EGF for 15 min. Baicalein and 12(S)HETE, when present, were added 40 min prior to EGF. RNA was extracted at 15 min and c-fos mRNA levels were determined by competitive RT-PCR with a DNA internal standard. The 212 bp c-fos RT-PCR product was not present in the control assays lacking RT.
