Figure 9 of
Green, Mol Vis 1999;
5:27.
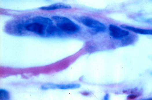
Figure 9. Cellular breakdown of Bruch's membrane
Granulomatous reaction to Bruch's membrane with multinucleated giant cells apparently engulfing a margin of Bruch's membrane.
A. Van de Grift, x25.

Figure 9A reprinted with permission, from: Dastgheib K, Green WR. Granulomatous reaction to Bruch's membrane in age-related macular degeneration. Arch Ophthalmol 1994; 112:813-8.
B. Periodic acid Schiff, x40.
