Figure 16 of
Green, Mol Vis 1999;
5:27.
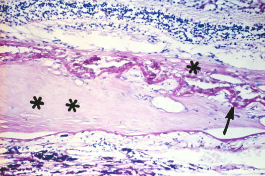
Figure 16. Two-component disciform scar
Two-component disciform scar with the thin subretinal component (asterisk) and thicker intra-Bruch's membrane component (two asterisks) that are separated by a thick layer of BlamD (arrow) with some residual RPE. Periodic acid-Schiff, x25.
