Figure 5 of
Kim, Mol Vis 1999;
5:12.
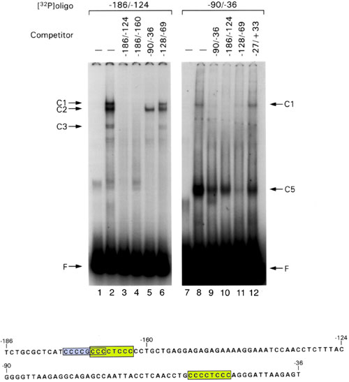
Figure 5. EMSA with double stranded oligonucleotides corresponding to mouse MIP sequences -186/-124 and -90/-36 incubated with mouse lens nuclear extract.
Competition experiments were performed in the presence of 100-fold molar excess of the indicated unlabeled competitors (lanes 3-6, 9-12). C1, complex formed with -90/-36 and -186/-124 probes; C2 and C3, complexes formed with -186/-124 probe; C5, complex formed with -90/-36 probe. F: free probe. CT box is indicated as yellow box. GC box overlapping with CT box is indicated as blue.
