Figure 4 of
Kim, Mol Vis 1999;
5:12.
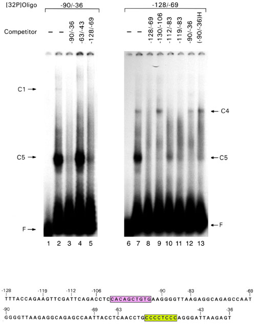
Figure 4. EMSA with double stranded oligonucleotides corresponding to mouse MIP sequences -90/-36 and -128/-69 incubated with mouse lens nuclear extract.
Competition experiments were performed in the presence of 100-fold molar excess of the indicated unlabeled competitors (lanes 3-5, 8-13). C1, complex formed with -90/-36 probe; C4, complex formed with -128/-69 probe; C5, complex formed with -90/-36 and -128/-69 probes. F: free probe. Lower panel shows DNA sequence of probes corresponding to mouse MIP 5'-flanking sequences. E box is indicated as pink box. CT box is indicated as yellow box.
