Figure 6 of
Chitpinityol, Mol Vis 4:1, 1998.
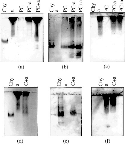
Figure 6. Binding of [alpha]-crystallin with folded prochymosin
The nondenaturing gel and Western blots demonstrate the binding of [alpha]-crystallin with folded prochymosin (a, b, c) and chymosin (d, e, f). [alpha]-Crystallin was added and incubated with the protein at 25 C overnight. (a), (d): Coomassie blue stained 10% nondenaturing gel. (b), (d): Western blots probed with polyclonal antichymosin antibodies. (c), (f): Western blots probed with polyclonal anti-[alpha]-crystallin antibodies. The lanes are: authentic chymosin ("Chy"); wild type prochymosin ("PC"); prochymosin refolded with [alpha]-crystallin, 1:4 ("PC-a"); folded prochymosin incubated with [alpha]-crystallin ("PC+a"); chymosin incubated with [alpha]-crystallin ("C+a").
