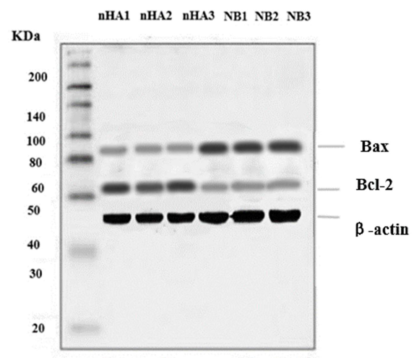
Figure 7 of Wu, Mol Vis 2026; 32:84-100.


Figure 7. Protein bands of Bcl-2 and Bax detected by western blot.