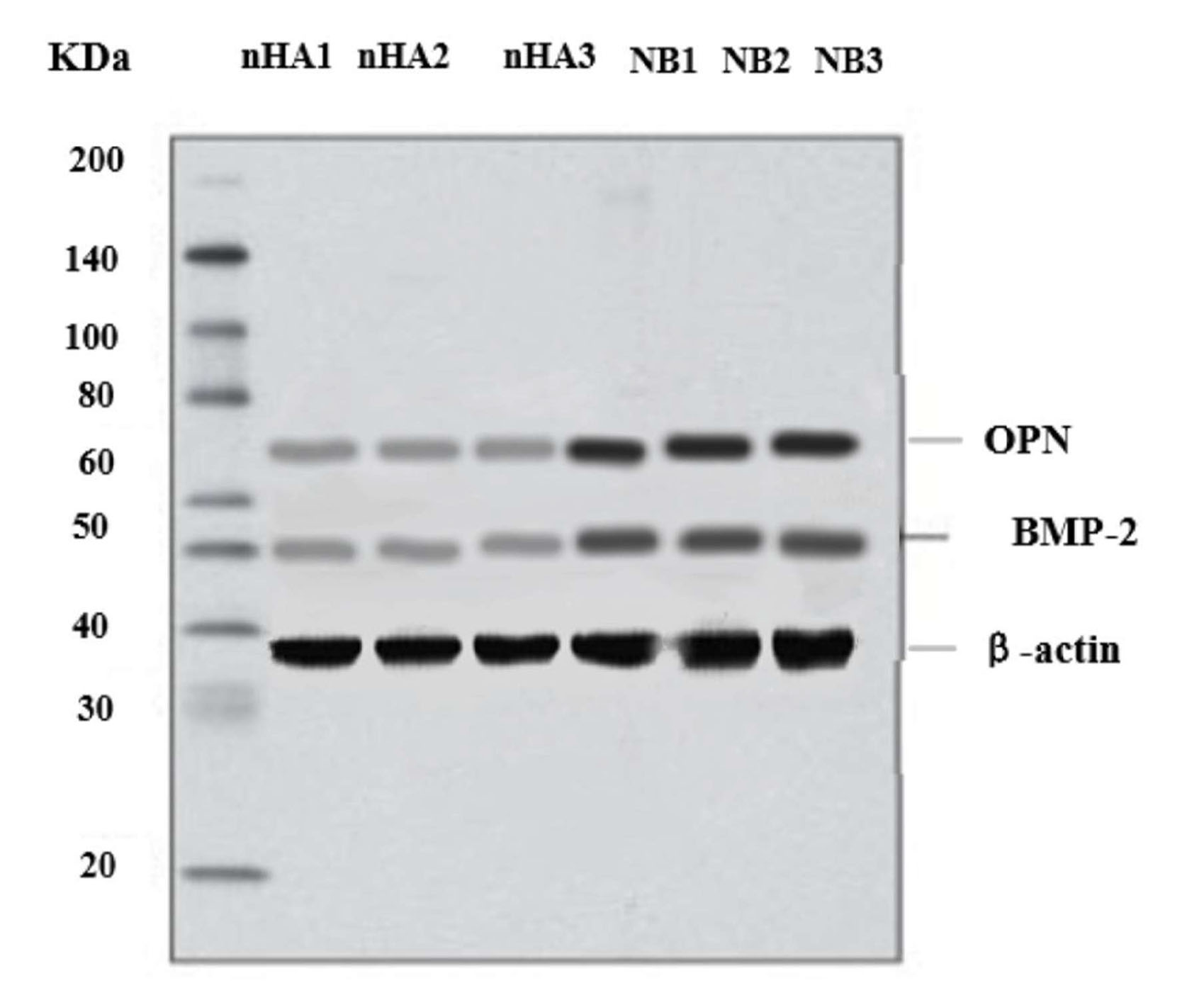
Figure 5 of Wu, Mol Vis 2026; 32:84-100.


Figure 5. Protein bands of BMP-2 and OPN detected by western blot.