Figure 2 of Wu, Mol Vis 2026; 32:84-100.


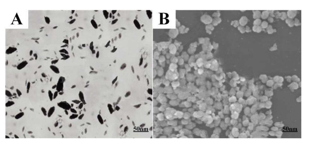
Figure 2. Morphological identification of nanobacteria under TEM and SEM.