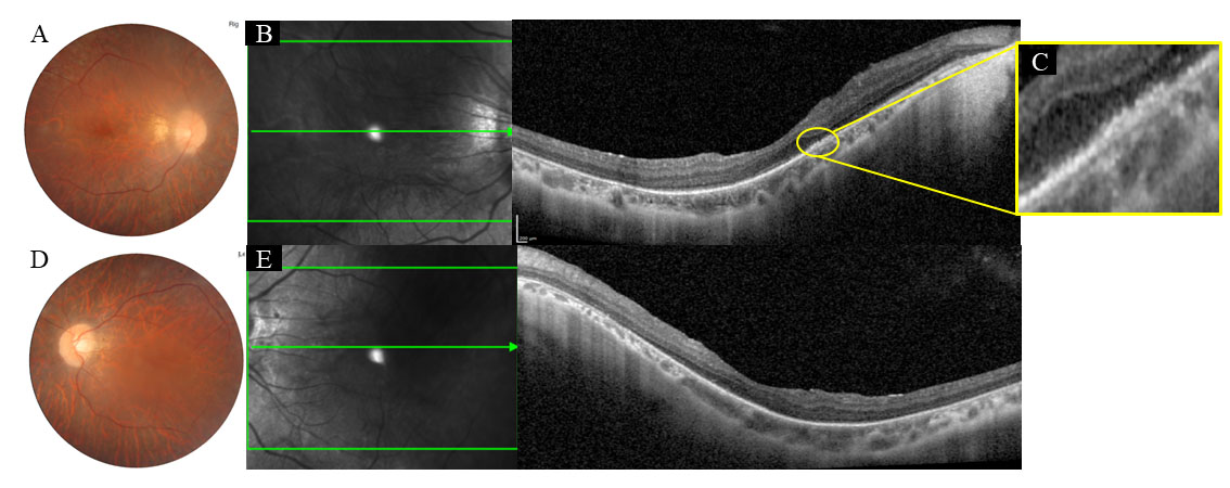
Figure 4. Images of Case 5 with RPE65 gene mutations. Case 5 with mutation c.370CT>C;p.(Arg124*) and c.1022 T>C;p.(Leu341Ser) at age 23 years with fundus (A, D) showing classic retinitis pigmentosa–like features, in addition to myopia features such as tilted disc and peripapillary
atrophy. Optical coherence tomography of both eyes (B, C, right eye and E, left eye) demonstrates disruptions in the ellipsoidal zone, in addition to abnormal curvature of the eye and thin choroid.
