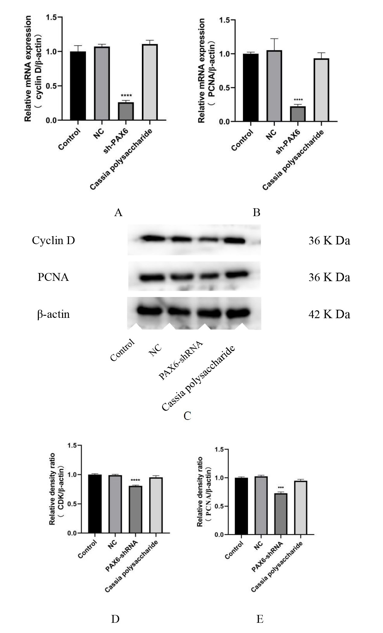
Figure 6. Regulatory effect of cassia polysaccharide on PAX6-shRNA-mediated cell cycle. A, B: The mRNA expression levels of cell cycle-related genes CDK and PCNA in the cassia polysaccharide group were increased compared
with those in the PAX6-shRNA group, showing no significant difference relative to the normal group. C–E: The cassia polysaccharide group significantly up-regulated the expression of cell cycle-related proteins CDK and PCNA compared
with the PAX6-shRNA group (n=3; *p<0.05, **p<0.01, ***p<0.001, respectively).
