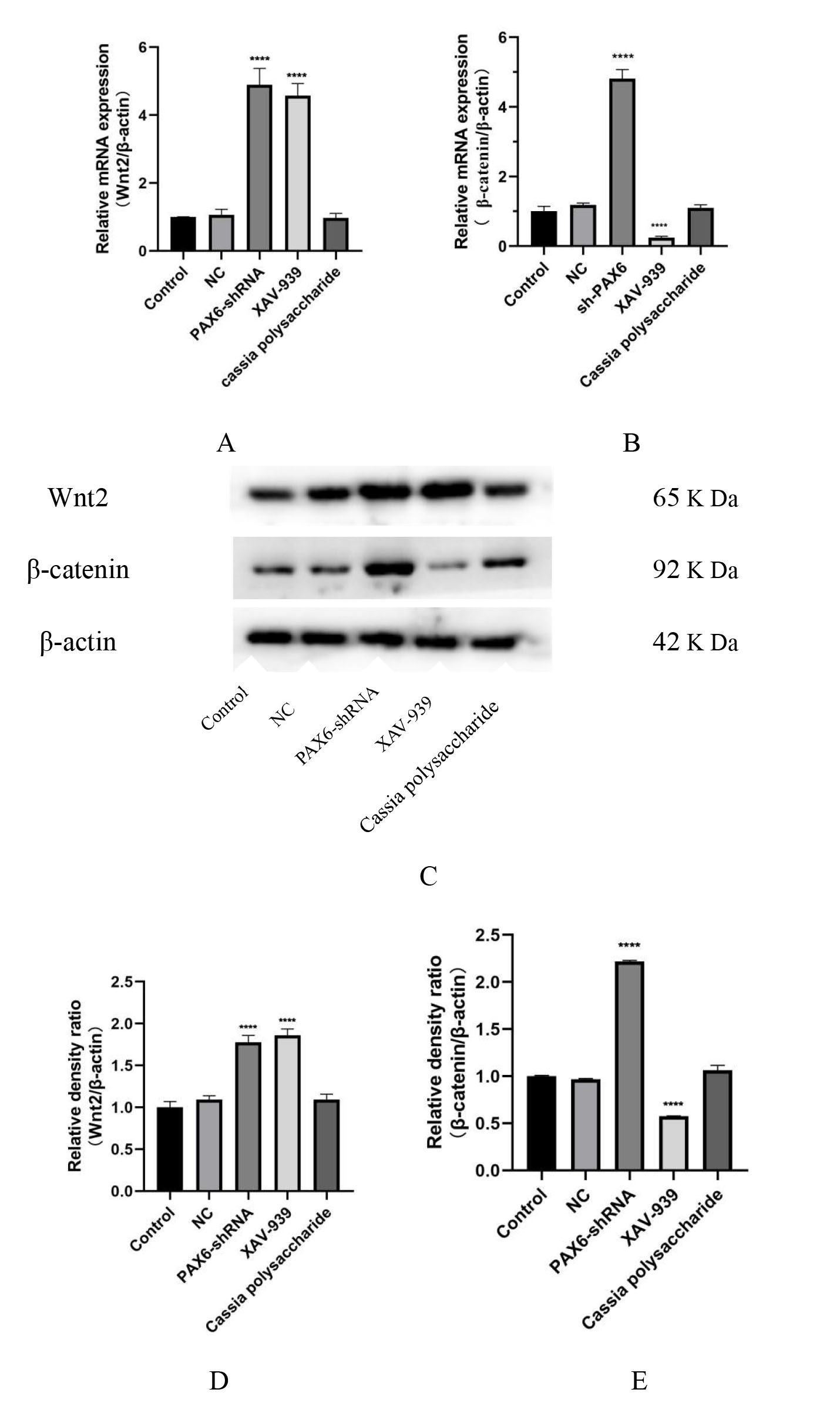
Figure 4. Effect of PAX6-shRNA mediated by cassia polysaccharide on the Wnt/β-catenin pathway. A: After PAX6 gene knockdown, the mRNA expression of Wnt2 in the PAX6-shRNA group and XAV-939 group was significantly up-regulated
compared with the normal group and cassia polysaccharide group. B: After treatment with the Wnt/β-catenin pathway inhibitor, the mRNA expression of β-catenin in the XAV-939 group was significantly
decreased, while the mRNA expression trend of β-catenin in the cassia polysaccharide group showed no obvious change. C–E: After PAX6 gene knockdown, the protein expression trends of Wnt2 and β-catenin in the PAX6-shRNA group, XAV-939 group and
cassia polysaccharide group were consistent with their respective mRNA expression trends, using the protein expression levels
of the blank group and negative control group as references (n=3; *p<0.05, **p<0.01, ***p<0.001, respectively).
