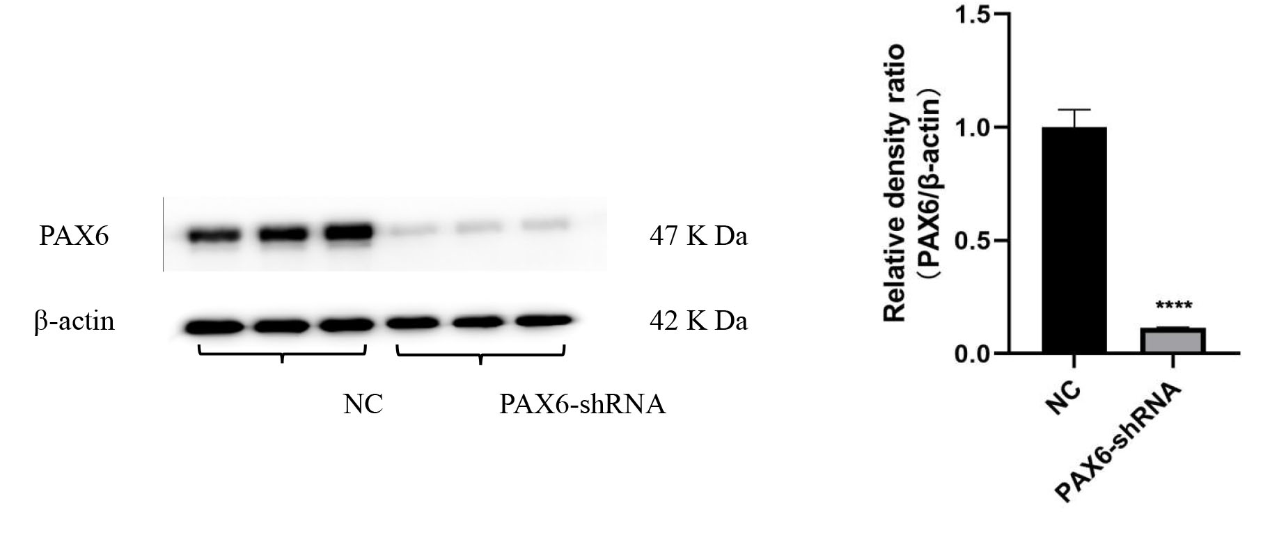
Figure 3. At 72 h after infection of human retinal pigment epithelial cells (ARPE-19) with lentivirus at a multiplicity of infection
(MOI) of 20, the protein expression of paired box gene 6 (PAX6) showed a significant downward trend. (n=3; PAX6-shRAN group
vs. NC-shRNA group, *p<0.05, **p<0.01, ***p<0.001).
