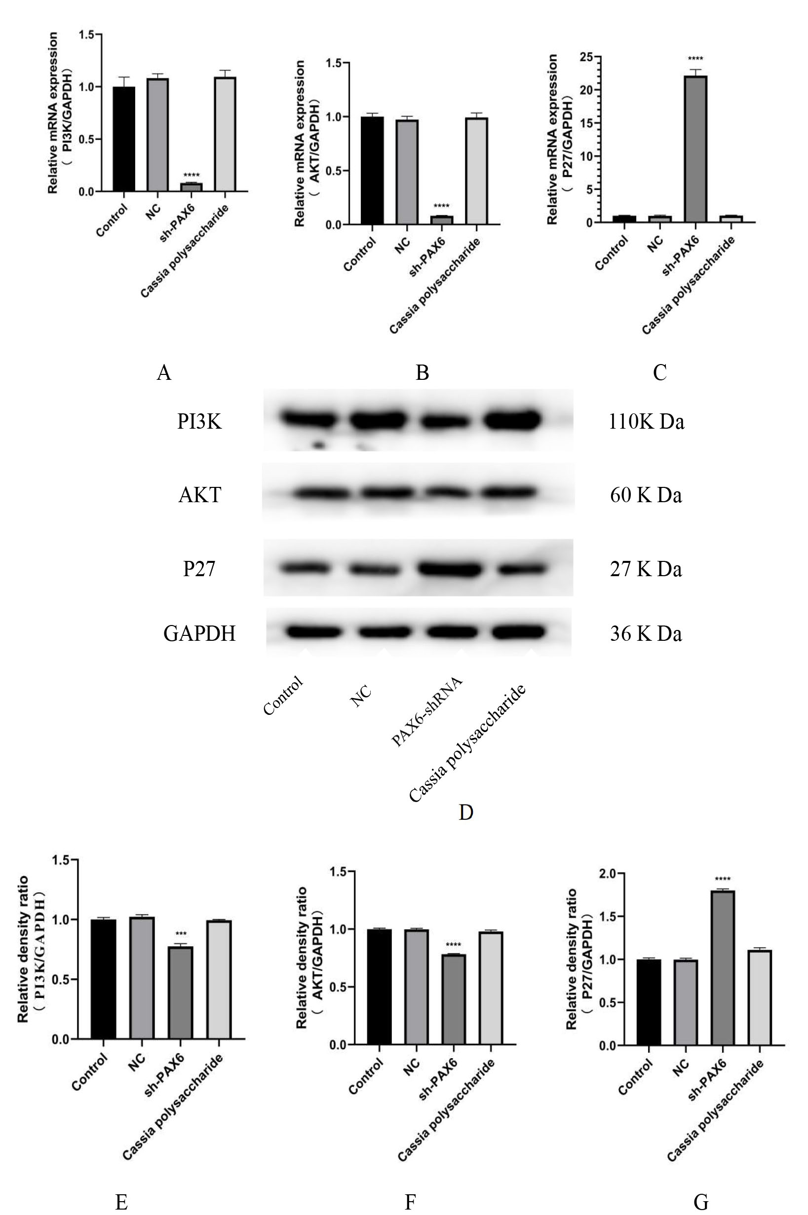
Figure 10. Effect of cassia polysaccharide regulating PAX6-shRNA on the PI3K/AKT-P27 pathway. A–C: After PAX6 knockdown in ARPE-19 cells, the mRNA expression of PI3K and AKT decreased while the mRNA expression of P27 increased,
whereas cassia polysaccharide could counteract this phenomenon to a certain extent. D–G: The expression of PI3K, AKT and P27 proteins in each group, and the results indicated that cassia polysaccharide could
counteract the inhibitory effect of PAX6 knockdown on the PI3K/AKT-P27 pathway to a certain degree (n=3; *p<0.05, **p<0.01,
***p<0.001).
