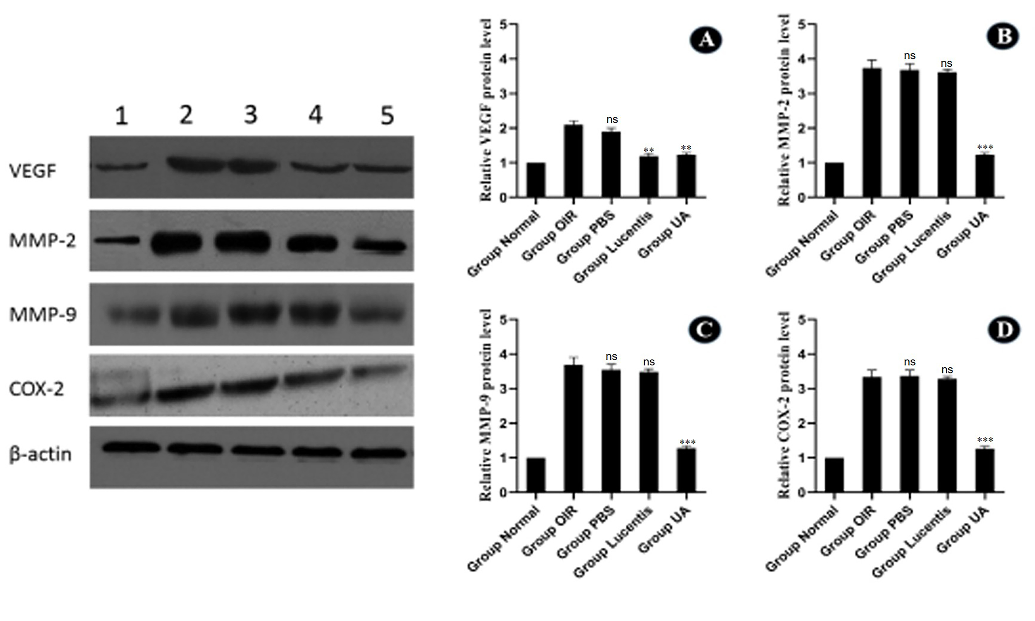
Figure 3. Expression of various proteins. Expression levels of vascular endothelial growth factor (A), matrix metalloproteinase 2 (B), matrix metalloproteinase 9 (C) and cyclo-oxygenase 2 (D) proteins in the retinal tissues of all groups: 1. Normal group; 2. oxygen-induced retinopathy (OIR) group; 3. phosphate-buffered
saline group; 4. Lucentis group; 5. ursolic acid group. VEGF: vascular endothelial growth factor; MMP-2: Matrix metalloproteinase
2; MMP-9: Matrix metalloproteinase 9; COX-2: Cyclo-oxygenase 2; UA: Ursolic acid; ns: Not significant; **p<0.01 compared with
OIR group; ***p<0.001 compared with OIR group.
