Appendix 1 of Vendra, Mol Vis 2024; 30:37-48.


Appendix 1.

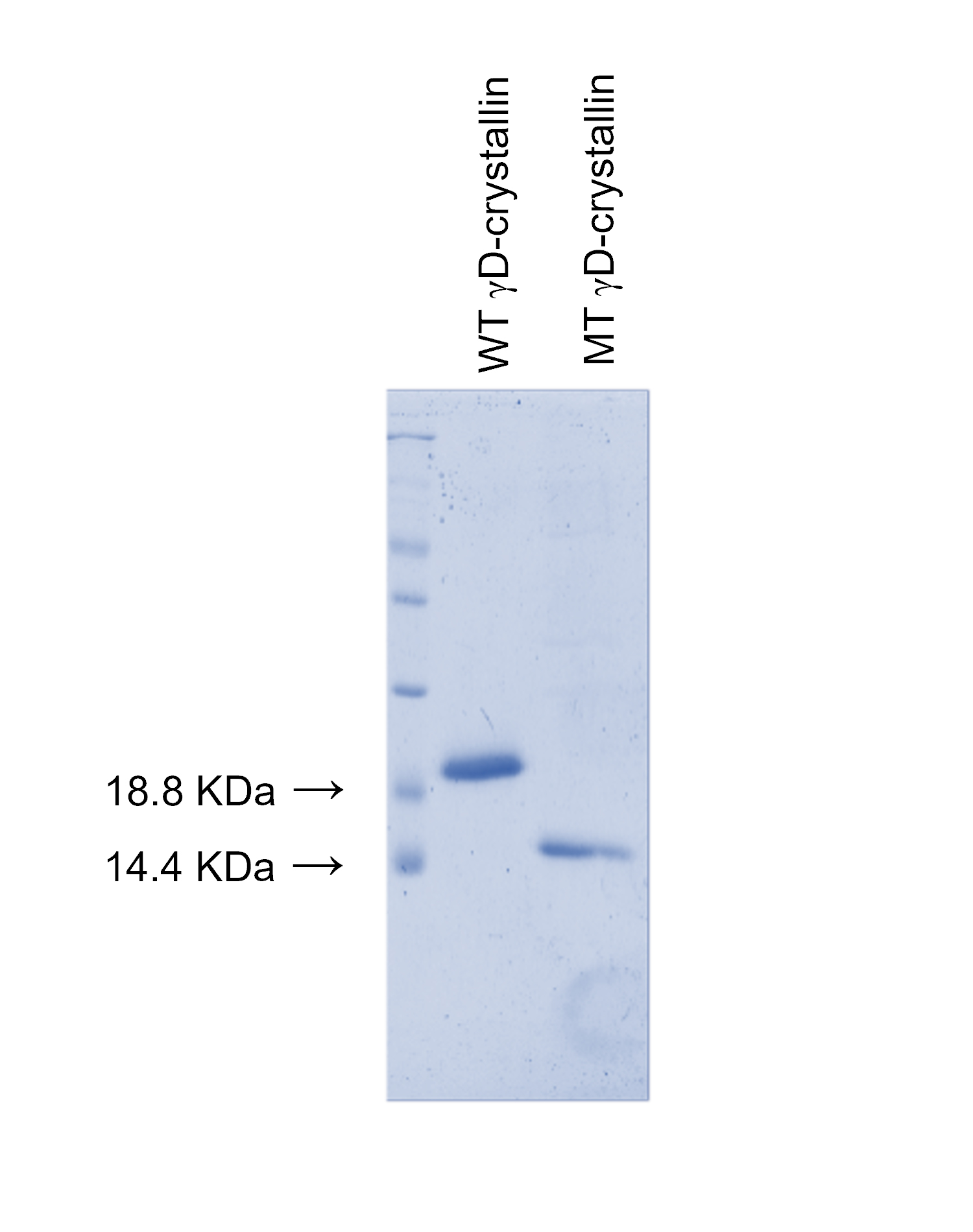
To access the data, click or select the words “Appendix 1.” SDS–PAGE analysis of purified wild-type and Y134X mutant human γD-crystallin proteins. Five μg of protein was loaded and run on 14% SDS–PAGE.