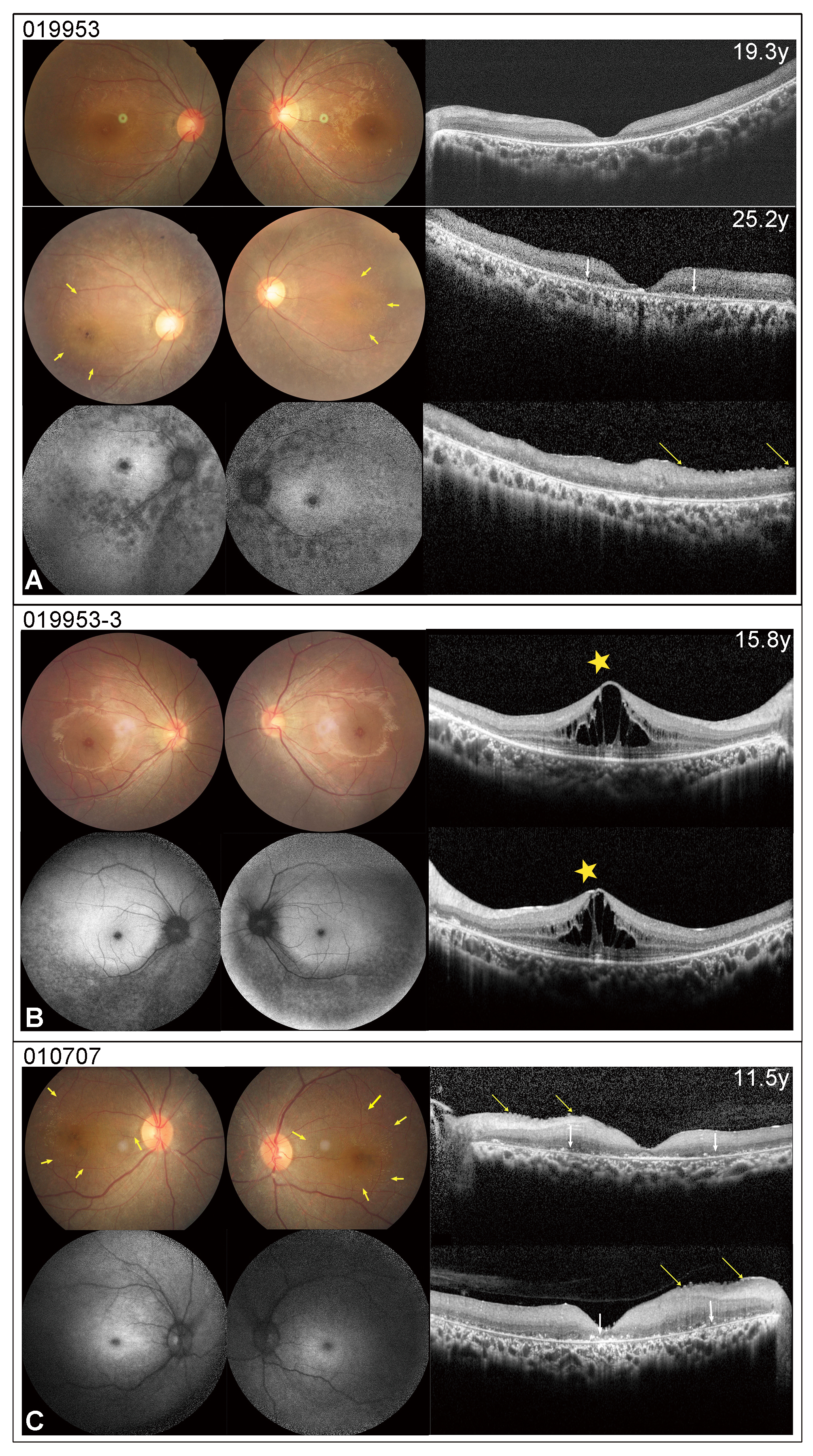
Figure 4. CF photographs, FAF, and OCT images of three patients carrying PPT1 variants. A CF image of patient 019,953 showed a blunted foveal reflex and mild retinal degeneration (RD) in the peripheral retina, while
her OCT scan displayed macular atrophy at the age of 19.3 years. Her CF and OCT images indicated macular striation (yellow
arrows), a total loss of ellipsoid zone, and hyper-reflective dots in the RPE level (white arrow) at the age of 25.2 years.
Her FAF displayed an enlarged area of hypo- AF area in the foveal region, surrounded by a hyper-AF region in the posterior
pole and a patchy hypo-AF region in the midperipheral retina. B CF and OCT of patient 019,953-3 showed marked macular edema (yellow asterisk) and peripheral RD. His FAF appearance was similar
to that of his sister (patient 019,953). C CF, OCT, and FAF images of patient 010,707 disclosed a fundus appearance akin to that observed in patient 019,953 at the
age of 25.2 years.
