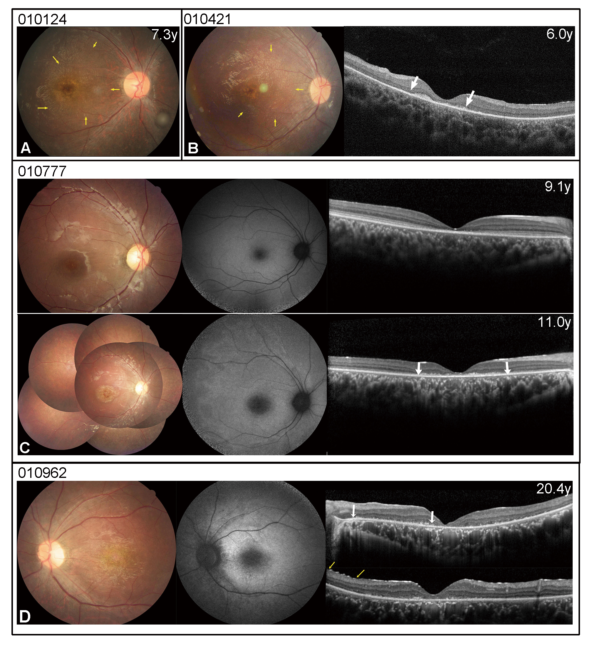
Figure 3. CF, FAF, and OCT) images of patients harboring variants in MFSD8 genes. A, B, and D: CF photographs of patient 010,124, patient 010,421, and patient 010,962, respectively, displayed macular atrophy, macular
striation (yellow arrows), and diffuse retinal degeneration (RD). C CF of patient 010,777 showed bull’s eye maculopathy, and OCT revealed macular atrophy. During her two years of follow-up,
CF and OCT images revealed advanced macular atrophy and hyperreflective substances (white arrows) in the macular region, while
FAF showed expansion of the enlarged area of hypo-AF in the foveal region.
