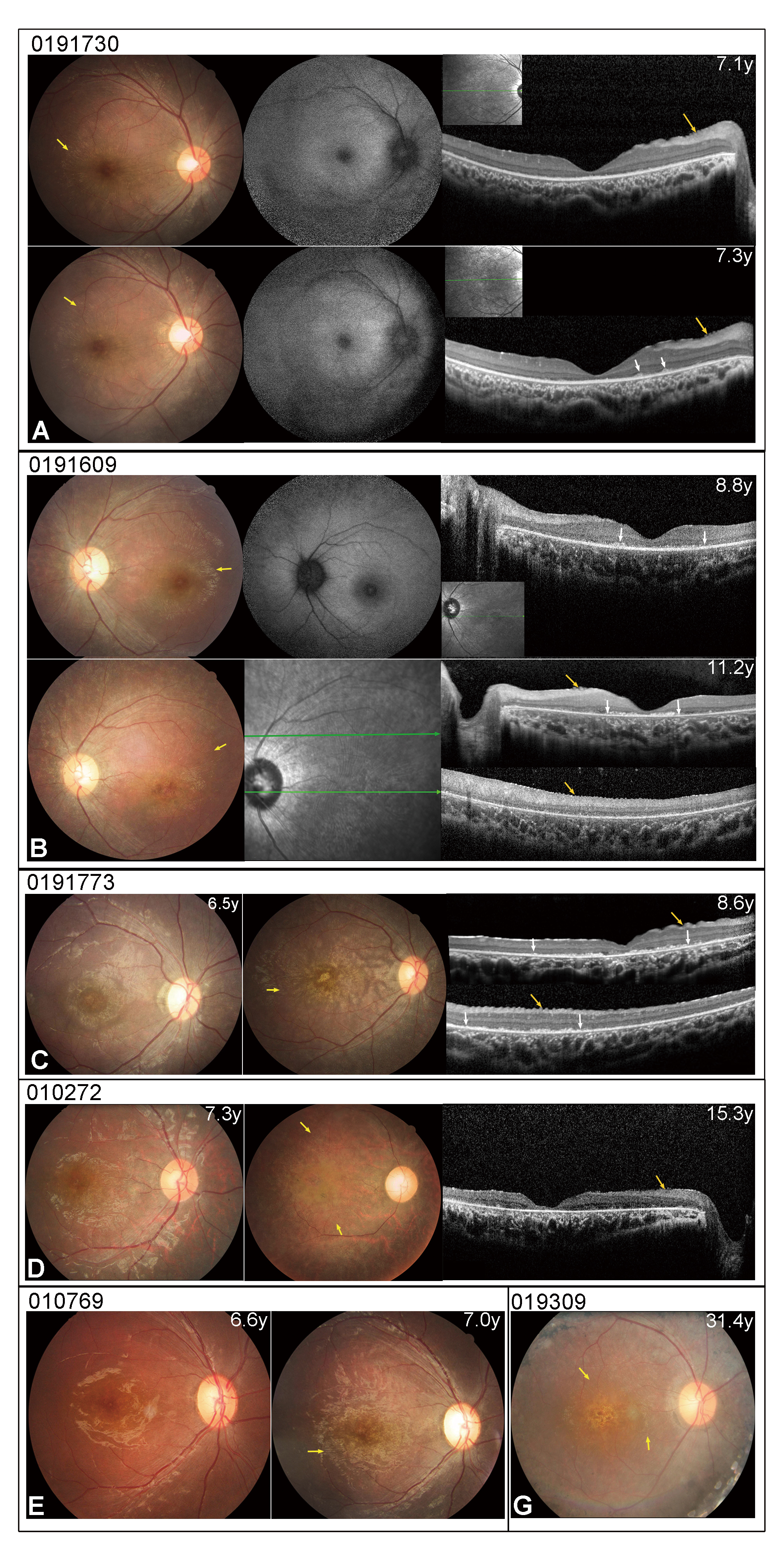
Figure 2. CF, FAF, IRI, and OCT images of patients carrying CLN3 variants. A-G: CF images showed macular atrophy, macular striation, and retinal degeneration (RD) in all the patients. OCT scans in four
patients revealed a diffuse loss of the outer retinal structure and hyperreflective remnants in the upper retinal pigment
epithelium (RPE) level (white arrows). Macular striation (yellow arrows) showed as fine rippling on OCT scans, corresponding
to linear striations in the CF and IRI. FAF displayed hyper-AF in the posterior pole surrounded by hypo-AF in the midperiphery.
In follow-up examinations, OCT scans revealed increases in the hyperreflective substances in patient 0,191,730 and patient
0,191,609 (A and B, respectively). The CF photographs of patient 0,191,773 and patient 010,769 showed radial macular striation only at the last
visit (C and E, respectively). The CF photograph of patient 010,272 exhibited decreased macular striation after eight years of follow-up
(D).
