Figure 1 of Steele et al


Figure 1. To3/To3 mutant lenses (Click an image to see it at a higher resolution)

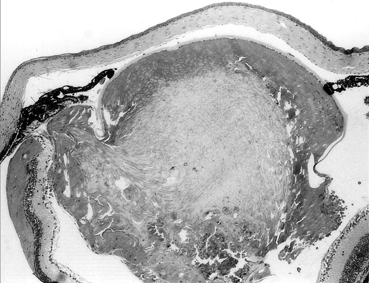
Figure 1a. Eye of To3/To3 homozygote, age 18 days.
The lens is vacuolated, and the lens capsule has ruptured.
The vitreous chamber is abnormally small.
Figure 1b. Higher power view of lens in Fig. 1a.
The lens fibers are disorganized and some retain the nuclei.
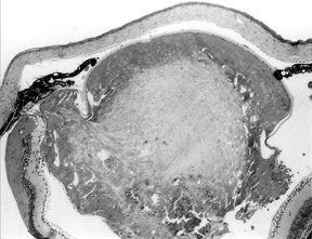
Figure 1c. Eye of To3/To3 homozygote, age 69 days.
The lens capsule has ruptured, and lens material has leaked into the abnormally small vitreous chamber.
Figure 1d. Higher power view of lens in Fig. 1c.
The lens has a nucleus with non-nucleated fibers, but these are disorganized.

This article may be referenced as: Mol. Vis. 3:5, 1997
<http://www.emory.edu/molvis/v3/steele>
©1997 Molecular Vision
ISSN 1090-0535