Figure 14 of
Boatright, Mol Vis 3:15, 1997.
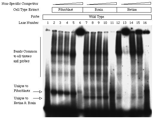
Figure 14. EMSA showing tissue specificity of activator-specific binding.
Radiolabeled wild type activator sequence was incubated with nuclear extracts from cultured fibroblast, brain, and retina cells. The activator-specific band appeared in lanes with retina and brain extract. A band whose mobility differed from the activator-specific band appeared in fibroblast lanes. Lanes 6 and 13 ran anomalously and were discounted from analysis.
