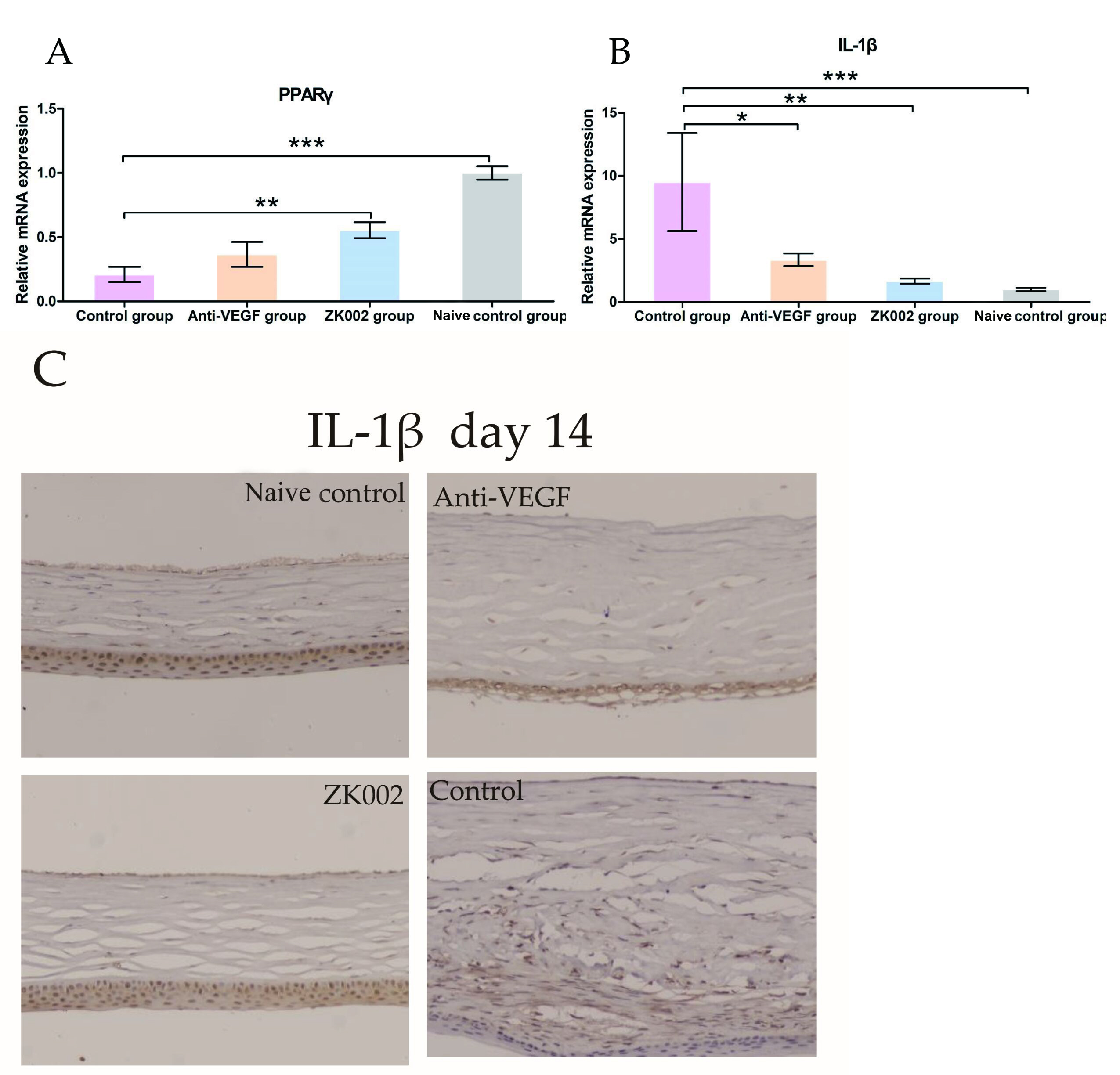
Figure 4. ZK002 reduced PPAR γ and pro-inflammatory factor expression in the alkali burned cornea. RT-qPCR was used to detect the mRNA
levels of PPARγ (A) and IL-1β (B) in alkali-burned corneas. Data were expressed as the mean ± SD. Data were analyzed using analysis of variance and Dunnett‘s
multiple comparison test. Compared all groups vs. each group. A value of p < 0.05 was considered statistically significant.
*p < 0.05, **p < 0.01, ***p < 0.0001. Representative immunohistochemistry of IL-1β on day 14 in corneal sections of all groups
are shown (C). Bar=100 µm.
