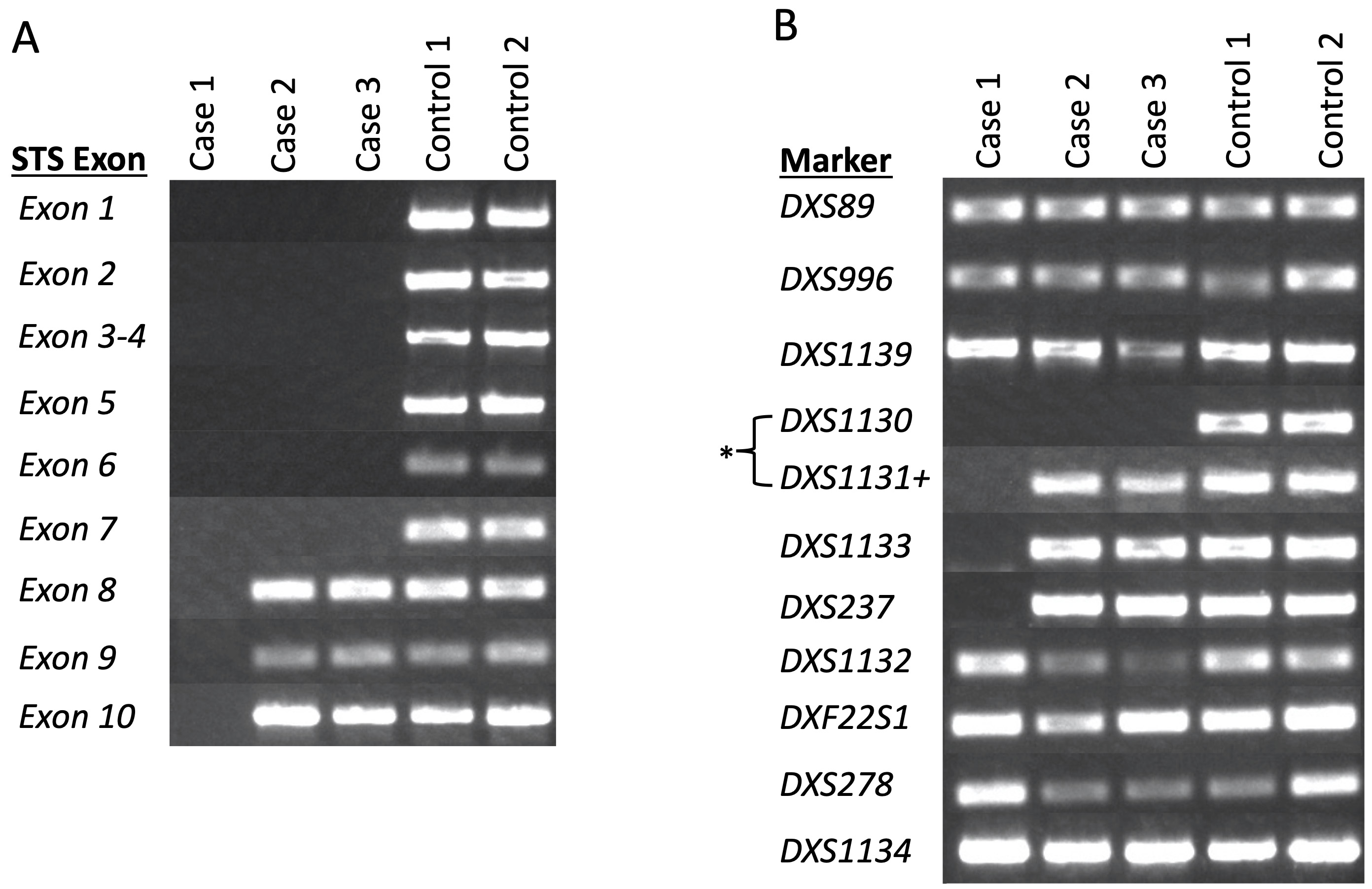
Figure 3. PCR analysis of the STS gene and flanking DNA markers. A: PCR analysis of STS exons 1–10 in Cases 1–3 and two unrelated healthy controls. B: PCR analysis of flanking DNA markers DXS89–DXS1134 in Cases 1–3 and two unrelated healthy controls. The asterisk (*) indicates
the two DNA markers, DXS1130 and DXS1131+, located on either side of and closest to the STS gene.
