Figure 1 of
Huang, Mol Vis 2022; 28:29-38.
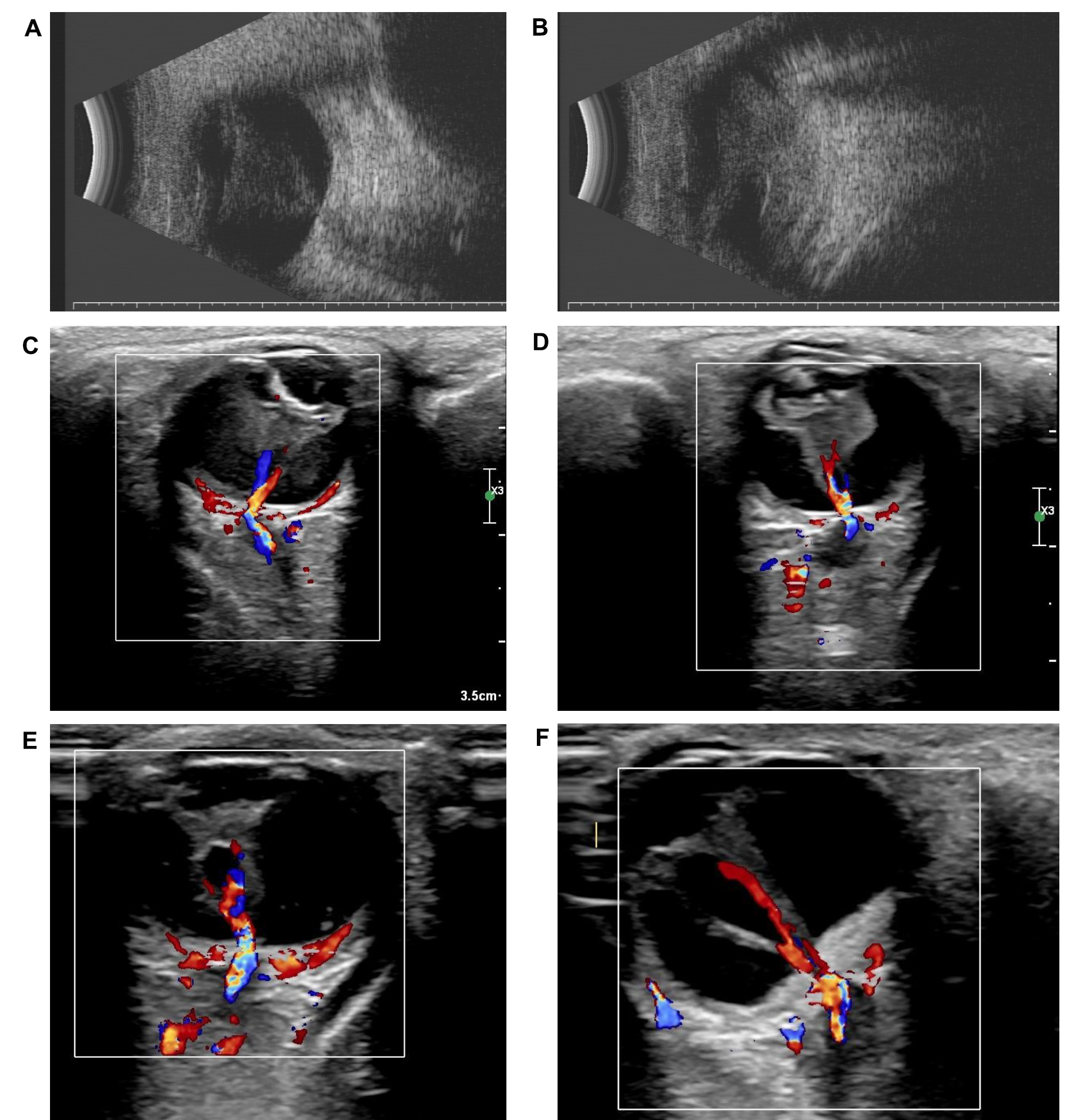
Figure 1.
Ultrasound of the three probands. Retinal detachment was detected in
A,B
: the right and left eyes of XDW1,
C,D
: the right and left eyes of DX1740, and
E,F
: the right and left eyes of DX1906.