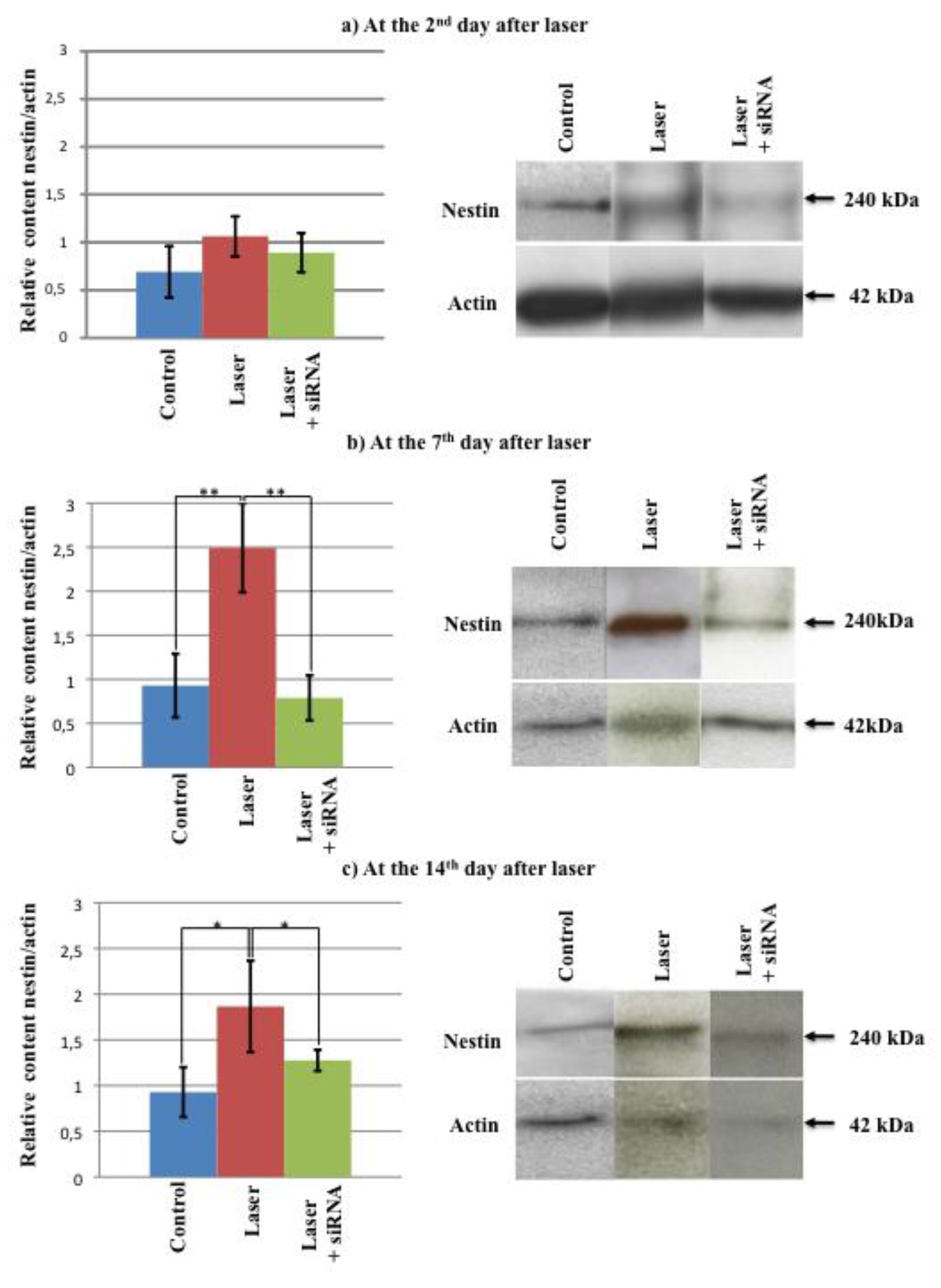
Figure 8. Relative nestin concentrations in the retina at 2, 7, and 14 days after laser treatment. Two days after the laser treatment,
no statistically significant increase in nestin expression level was observed. Seven days after the laser treatment, the expression
level of nestin was significantly increased. The nestin siRNA injection led to a significant reduction. Fourteen days after
the laser treatment, the expression level of nestin remained high, and nestin siRNA injection reduced the intensity of immunoreactivity.
Mann-Whitney test, **p < 0.01, *p < 0.05.
